Root Canal Treatment 

Endodontic Therapy

A ROOT CANAL TREATMENT IS PERFORMED TO SAVE AND REPAIR A SEVERELY BROKEN OR INFECTED TOOTH.

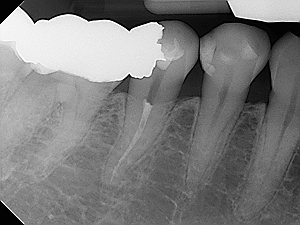
Root Canal

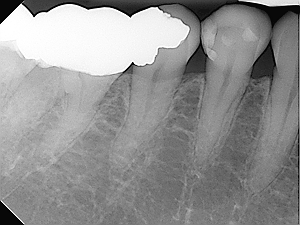
Root Canal

Root Canal Treatment

Root Canal Treatment

Some signs and symptoms of endodontic problems are:

  • Severe tooth ache

  • Tenderness when chewing and biting

  • Tenderness in the gums

  • Prolonged sensitivity to hot drinks or food

  • Tooth discoloration

The procedure involves removing the pulp (the live tissue inside the tooth), cleaning and disinfecting root canals and then filling and sealing it.

THE COMMON CAUSES THAT DISTURB THE PULP ARE:

  • A Deep Cavity

  • A cracked Tooth

  • Repeated dental treatment

  • Or Trauma.

 ROOT CANAL TREATMENT WILL HELP:

  • Preserve your appearance by retaining the affected tooth

  • Allow chewing with comfort

  • Maintain neighboring teeth in their positions

Most teeth can be saved by endodontic therapy. However, tooth extraction may be necessary if:

  • Roots are fractured

  • The root does not have adequate bone support

  • The tooth can not be restored

  • Root canals are calcified and are not accessible